حالة طبية نادرة.. فريق بمستشفى طهطا ينقذ شابًا من جلطة بالشريان التاجي
في واقعة طبية نادرة، نجح فريق طبي مساء أمس الأربعاء بوحدة قسطرة القلب بمستشفى طهطا العام ضم كلا من الدكتور مؤمن لطفي استاذ أمراض القلب بجامعة الوادي الجديد، والدكتور عمرو السحلي استشاري القلب ومدير وحدة القسطرة والدكتور عماد قاسم والدكتور مصطفي أبو سنة والدكتور مينا موريس والدكتور المنذر أحمد والدكتورة فيرينا كرم أطباء القلب بالمستشفي، وطاقم الفنيين والتمريض وتحت إشراف الدكتور أحمد زيد مدير المستشفي، في إنقاذ حياة شاب يدعي “س. م. ع” يبلغ من العمر 18 عامًا، بعد إصابته بجلطة حادة بالشريان الأمامي الرئيسي للقلب.
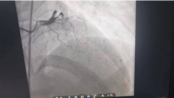
وأوضح الدكتور عمرو دويدار، وكيل وزارة الصحة بسوهاج، أن الشاب حضر إلى المستشفى في حالة حرجة ومتأخرة نسبيًا، وبعد إجراء رسم القلب والفحوصات اللازمة تبين وجود جلطة حادة بالشريان الأمامي وهي من الحالات النادرة جدًا في هذا العمر على المستوي العالمي.
وأضاف "دويدار" أنه فور الانتهاء من فحص المريض تم العرض على الفريق الطبي بوحدة قسطرة القلب، الذي قرر على الفور إجراء قسطرة قلبية عاجلة لاستكشاف الشرايين التاجية للقلب، حيث تبين أن الشريان الأمامي الرئيسي كان مسدودًا بالكامل، وتم فتح الشريان وتركيب دعامة بنجاح تام، واستقرت حالة المريض بعد العملية ويستكمل علاجه بالمستشفى.
وأضاف “دويدار” أن وحدة قسطرة القلب بمستشفى طهطا العام تقدم خدماتها لحالات الجلطات القلبية وأن الحالات الحرجة تتلقي العلاج الطاريء اللازم بالوحدة بشكل مجاني تمامًا دون تحمل المريض أي تكلفة مالية ودون أي تأخير.
وأكد "دويدار" أن هذه الحالة تُعد من أندر الحالات المسجلة لجلطات القلب في هذا العمر، مشيدًا بجهود الفريق الطبي الذي تعامل باحترافية وسرعة لإنقاذ حياة المريض.









